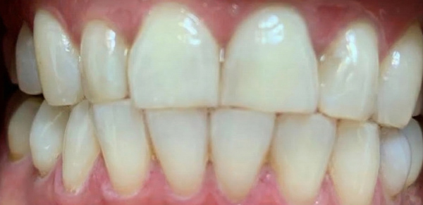
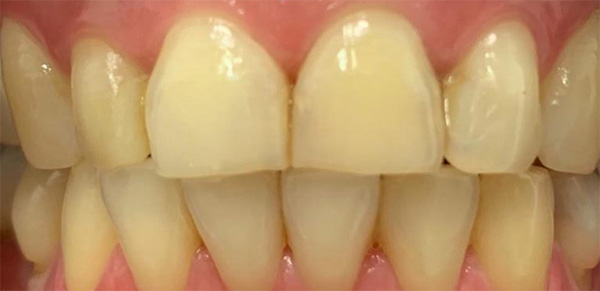
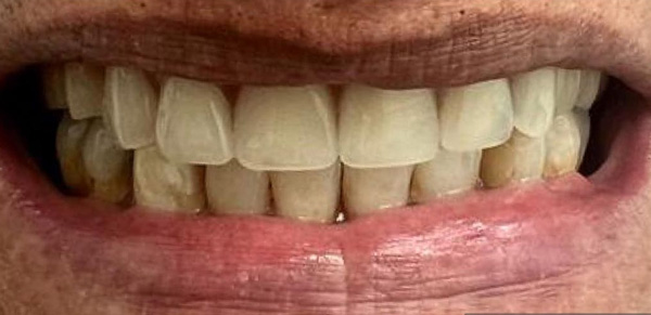
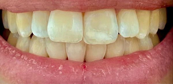
Antes y después
Los resultados hablan por sí solos. En Tres Forques Dental, cada tratamiento tiene un objetivo claro: transformar sonrisas y devolver confianza.
El “antes y después” no es solo un cambio estético. Es recuperar seguridad al hablar, comodidad al masticar y la tranquilidad de saber que tu salud bucodental está en buenas manos.
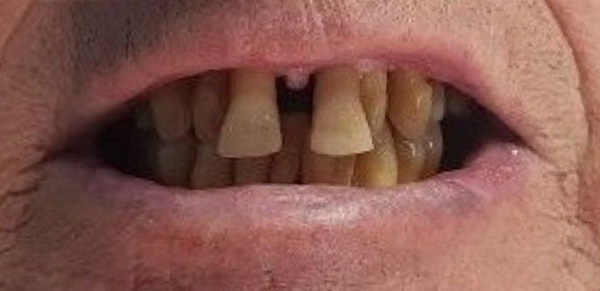
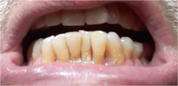
Nuestros pacientes
Detrás de cada imagen hay una historia real. Pacientes que llegaron con complejos, molestias o problemas funcionales y que hoy sonríen con naturalidad.
Trabajamos tratamientos de estética dental, ortodoncia, implantes y rehabilitaciones completas, siempre adaptados a las necesidades individuales. No existen soluciones estándar, porque no existen dos sonrisas iguales.
Caso 1
Caso 2
Caso 3
Caso 4
Caso 5
Caso 6
Caso 7
Confían en nosotros
La confianza no se promete, se construye.
Desde la primera visita realizamos una valoración completa para analizar tu caso y definir el plan de tratamiento más adecuado. Te explicamos cada paso con claridad, resolvemos tus dudas y diseñamos una estrategia alineada con tus objetivos.
Trustindex verifica que la fuente original de la reseña sea Google. Maria Hurtado FernándezHace un tiempo gané un sorteo del blanqueamiento Philips, y la verdad que fue fenomenal, ahora vengo a hacer recordatorio de mi blanqueamiento, siempre trato genio y súper cariñosas .❤️ Clínica impecable , muchas graciasTrustindex verifica que la fuente original de la reseña sea Google. francisco gallegosDespués de buscar mucho tiempo he llegado al sitio indicado, el trato es insuperable muy profesionales muy cercano y siempre muy preocupados lo recomiendo 100%Trustindex verifica que la fuente original de la reseña sea Google. Francesc FAcudí a esta clínica porque me lo recomendó mi primo y por las buenas reseñas que leí, las cuales corroboro. Aymara es encantadora, al igual que el resto de profesionales. Todos y todas son súper amables y competentes. Y, si bien ir al dentista no es barato en ningún sitio, considero que aquí la calidad de los servicios, los productos y del trato en relación al precio que pagas es excelente.Trustindex verifica que la fuente original de la reseña sea Google. Delfin Minguez ValeroTrato excepcional, muy bien asesorado, tratado y satisfecho con los resultados!Trustindex verifica que la fuente original de la reseña sea Google. Vicent FFUna experiencia realmente excepcional. En agosto de este año tuve problemas con un implante que me habían colocado hace años en otra clínica. Buscando una clínica dental cercana a mi domicilio, encontré Tres Forques Dental. Las reseñas me convencieron y solicité una cita. Estoy muy satisfecho con el trato recibido y con los resultados de mis visitas. Un equipo de grandes profesionales y una atención excepcional.Trustindex verifica que la fuente original de la reseña sea Google. Matias SchwabLlegue aqui por publicidad para hacerme un blanqueamiento dental Philips Zoom, y no puedo estar mas satisfecho con el resultado… desde el contacto por whatsapp me dieron la informacion clarisima, incluyendo precios y descuentos. Me dieron cita enseguida, me explicaron todo y el resultado fue estupendo. Agradezco a todo el equipo por el trato amable y personalizado, ademas de haberme dejado una sonrisa increible de nuevo. Sinceramente los recomendare porque son super profesionales y atentos… gracias!Trustindex verifica que la fuente original de la reseña sea Google. Ana VazquezUne super clinique dentaire. Le service et l’accueil méritent plus que 5 étoiles. Personnel très aimable et professionnel. Je recommande à 100%Trustindex verifica que la fuente original de la reseña sea Google. margarita garciaRecomiendo esta clínica, cuenta con una infraestructura excepcional y un personal de alta profesionalidad que hacen placentero cualquier tratamiento, felicidades !!!Trustindex verifica que la fuente original de la reseña sea Google. David Javier Castro RodriguezMuy satisfecho con el trato, la tecnología, el precio y el servicio en general. Gracias 😀
¡Pide tu cita ahora!
Si quieres dar el paso y convertir tu “antes” en un “después” del que sentirte orgulloso, en Tres Forques Dental estamos preparados para ayudarte.
Solicita tu primera visita y empieza a transformar tu sonrisa.